您所在的位置:
首页 新闻列表 文章详情

病例分享 | 暴发性心肌炎ECMO术后患者早期重症康复1例

1102年11月02日 来源中国临床案例成果数据库 阅读:247次

 

病史摘要 患者,女性,55岁,以"腹痛、发热3d"为主诉入院。入院3d前不洁饮食后出现腹痛,伴发热、腹泻。

 

症状体征 患者因不洁饮食后"腹痛、发热3d",完善冠状动脉造影后,结合检验检查结果,考虑心肌炎可能,转入冠心病监护室;随后病情进展迅速,出现意识丧失、Ⅲ度房室传导阻滞、心室停搏、血流动力学不稳定。

 

诊断方法 行心肌酶学、心电图、超声心动图、冠状动脉造影检查

 

治疗方法 转入冠心病监护室后病情发展迅速,立即予机械通气、体外膜肺氧合、临时起搏器等生命支持手段,同时予糖皮质激素、人免疫球蛋白、抗感染、抗病毒等对症治疗。

 

临床转归 入院第8天ECMO顺利撤机。经12d康复干预后,患者左、右手握力分别由6.3kg、5.4kg升至22.2kg、19.5kg;日常生活活动能力(ADL)评分由15分升至95分,可基本自理;肺通气、小气道功能恢复正常;不良情绪缓解。于入院第18天办理出院。

 

关键词:暴发性心肌炎;体外膜肺氧合;早期心脏重症康复

 

 

暴发性心肌炎是心肌炎最为严重和特殊的类型,起病急骤,进展迅速,易累及多脏器器官,预后不容乐观,早期病死率极高[1,2]。对血流动力学不稳定的患者尽早使用ECMO支持可挽救患者生命[3,4],但不恰当的运动使相关并发症风险增加[5,6],因此对此类患者何时进行安全有效的心脏康复治疗,是心脏康复治疗面临的挑战。国内外相关资料较少。我们报道1例55岁的老年女性暴发性心肌炎患者的救治经过,包括应用ECMO治疗、尽早启动康复治疗、及时介入心理支持等,旨在提供此类患者救治和早期康复经验。

 

临床资料

 

1.一般资料

 

患者,女性,55岁,以"腹痛、发热3d"为主诉入院。入院3d前不洁饮食后出现腹痛,伴发热、腹泻。外院心电图提示完全性右束支传导阻滞,部分导联ST-T改变,心肌酶学显著升高,考虑"急性心肌梗死"转诊我院。

 

入院后行急诊冠脉造影术示LAD近段、RCA中段30%狭窄;其余均未见明显异常。左室造影示:左室下壁运动减弱。床旁心脏彩超提示EF42%,室壁运动普遍减弱,结合病史特点及检查结果,考虑心肌炎,转入冠心病监护室进一步诊治。平素健康状态可,有诺氟沙星、阿莫西林过敏史,否认吸烟、饮酒、家族史、传染病史、输血史、外伤、中毒、新冠疫苗接种史。

 

体格检查:体温36.5℃,窦性心律,心率91次/分,呼吸20次/分,左上臂血压105/60 mmHg;右上臂血压106/60mmHg,血氧饱和度85%,体重65kg。患者神志清,双肺呼吸音清,未闻及干湿啰音。心前区无隆起,心尖搏动无异常,心尖搏动位于胸骨左缘第五肋间与左锁骨中线交点内0.5cm,触诊心尖搏动无抬举感,无震颤,无心包摩擦感,叩诊心界饱满,未闻及病理性杂音。无脉搏短绌,双下肢无浮肿,双侧足背动脉搏动可触及。

 

入院后1h患者即出现气促,不能平卧,测血压为54/32mmHg,血氧饱和度降至80%,心电监护提示室性逸搏心律,Ⅲ度房室传导阻滞,患者随即出现意识模糊,故立即启动ECMO、呼吸机辅助呼吸等循环、呼吸支持治疗。

 

2.检查

 

血常规:白细胞计数7.46×109/L,中性粒细胞计数5.39×109/L,血红蛋白118g/L,血小板计数174×109/L;

肌红蛋白测定161ng/ml↑,NT-proBNP 5587.2 pg/ml↑,肌钙蛋白T 2405.66ng/L↑;

谷丙转氨酶40U/L,谷草转氨酶156.4U/L↑,甘油三酯1.1mmol/L,总胆固醇4.33mmol/L,低密度脂蛋白胆固醇2.72mmol/L,血糖7.84mmol/L,CK-MB 69.6U/L↑,肌酐64.8µmol/L,尿酸252.7µmol/L,钾3.93mmol/L,钠134.50mmol/L↓,超敏C反应蛋白测定31.13mg/L↑,肾小球滤过率92.55 mL/min·1.73m2

降钙素原检测0.063ng/ml↑;

血气分析(循环及呼吸辅助支持下):pH值7.56,氧分压109mmHg,动脉血氧饱和度98.7%,氧合指数218mmHg。

 

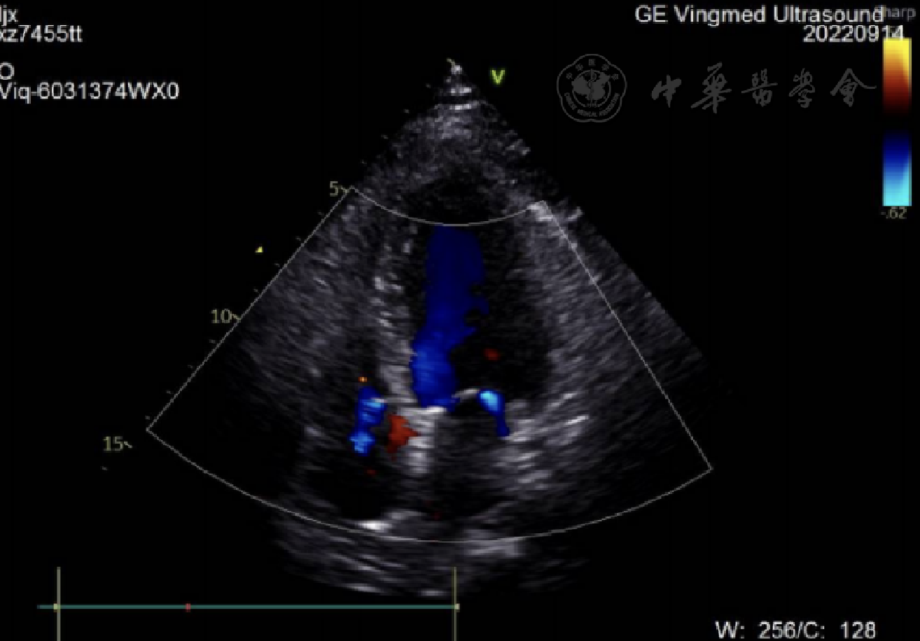
入院后行急诊冠脉造影术,结果见图1。行心脏彩超和心电图检查,结果见图2,图3。

 

图1 冠状动脉造影

A:LAD近段30%狭窄,LM、LCX未见异常;

B:RCA中段30%狭窄;

C:左室造影示:左室下壁运动减弱

 

图2 心脏彩超结果 

LVD 42 mm,EF 42%,轻度二尖瓣反流;轻度三尖瓣反流,左室壁整体运动幅度普遍减低。

 

图3 心电图结果 

A:窦性心律,完全性右束支阻滞,Ⅱ、Ⅲ、AVF、V1导联异常Q波伴ST段弓背抬高;

B:室性逸搏心律,Ⅲ度房室传导阻滞。

 

3.诊断与鉴别诊断

 

诊断:

1. 暴发性心肌炎心功能Ⅳ级心源性休克;

2. 心律失常Ⅲ度房室传导阻滞。

 

诊断依据:患者为中年女性,有不洁饮食史,伴有发热、腹泻;心肌损伤标志物升高;心电图提示多导联ST-T改变、室性逸搏心律、Ⅲ度房室传导阻滞;冠状动脉造影提示为冠状动脉粥样硬化,排除急性心肌梗死;出现血流动力学不稳定。

 

鉴别诊断:急性心肌梗死:多有心血管病危险因素;持续胸痛大于20min;心电图可见ST段弓背向上抬高或持续性ST段压低,伴T波高尖或倒置,可出现病理性Q波,或新发的完全性左束支传导阻滞;心肌损伤标志物呈动态改变;冠状动脉造影可发现血管闭塞。而该患者已完善冠脉造影,排除急性心肌梗死。

 

4.治疗

 

患者病情进展急骤,入院1h即出现血流动力学不稳定,参照2017年《成人暴发性心肌炎诊断与治疗中国专家共识》[1]积极进行救治,立即启动ECMO、机械通气、临时起搏器等机械辅助治疗,同时给予糖皮质激素、人免疫球蛋白、营养心肌、抗病毒、抗感染、输注新鲜冰冻血浆补充凝血因子等对症支持治疗,并动态评估,适时开展早期康复。

 

具体如下:

1.药物治疗:

①免疫调节:糖皮质激素联合免疫球蛋白。予每天两次甲泼尼龙160mg静脉推注,连续应用5d后减量至每天80mg;予持续应用5 d免疫球蛋白静脉滴注,每天20g。

②抗病毒、抗感染:奥司他韦抗病毒、头孢哌酮舒巴坦抗感染。

③其他:维生素C/B6抗氧化、辅酶Q10营养心肌、碳酸氢钠纠酸、肝素抗凝等。

 

2.暴发性心肌炎患者急性期时心肌严重水肿,存在大量顿抑心肌,在急性期快速识别、尽早应用生命支持手段是成功救治的关键点,同时积极尽早启动Ⅰ期康复。

 

2.1急性期ECMO置管期间(入院第1~8天)

入院1h患者突发意识丧失,心电监护示:心率25次/分、Ⅲ度房室传导阻滞,血压54/32mmHg。立即予胸外按压,予多巴胺、去甲肾上腺素及异丙肾上腺素等药物救治。予行床旁VA-ECMO术,设置参数:转速3000次/min、氧浓度100%、温度36.7℃。1h后ECMO流量稳定于2.8L/min。并行气管插管,采用"肺保护性机械通气策略",设置呼吸机参数:VC-AC模式、氧浓度100%、潮气量390ml、PEEP8mbar、呼吸次数10次/分。

 

入院第2天11:05,患者出现心室停搏,行床旁临时起搏器植入术,设置起搏频率70次/分,起搏电压10.0V,感知2.0mv。

 

应用ECMO期间每天复查心脏彩超评估心室收缩及主动脉瓣开闭情况,动态调整ECMO参数;密切监测患者生命体征。鉴于多处置管处有明显渗血,且多次换药后改善不明显,为避免因肢体活动加剧出血状况,暂不实施肢体活动,严格卧床休息。本阶段康复目标为维持血流动力学稳定,避免出现肢体功能障碍。康复方案:至少每2小时保证小幅度翻身一次,并借助软枕、毛巾卷、水囊等物件进行良肢位摆放,通过静止性的反射抑制和持续性控制来对抗异常运动模式,预防四肢肌群挛缩。良肢位摆放是早期抗痉挛(上肢屈肌痉挛、下肢伸肌痉挛)的重要措施之一,从而降低肢体功能障碍的发生率。

 

入院第6天,床旁心超示LVD 42mm EF50%,室壁活动、主动脉瓣开合活动较前增强,心电图为窦性心律,无新发心律失常,静息心率波动于70~77次/分,无R-R长间隙,予撤除临时起搏器。患者活性药均已减停,收缩压波动于100~125mmHg,平均动脉压波动于70~90mmHg。ECMO参数:转速3000次/min、氧浓度80%、温度36.7℃、流速2.8 L/min;呼吸机参数:VC-AC模式、氧浓度50%、潮气量350ml、PEEP10mbar、呼吸次数10次/分。肌钙蛋白T水平从4132ng/L降至1198ng/L;各管路穿刺处渗血情况较前减少;咪达唑仑组6mg/h、芬太尼组1µg/kg·h持续泵入,躁动镇静评分RASS-1分,无严重躁动情形。功能评估:握力无法评估,肌肉力量总分(MRC-SS)、移动能力评估(MRMI)、ADL评分均为0分。

 

经以上评估,增加被动肢体活动,方案如下:

①予被动踝泵运动,1天10组,1组20次;

②予行肩、肘、腕关节被动全范围关节活动,1天2组,每个关节1组20次;

 

2.2 ECMO撤除后(入院第8~10天)

入院第8天,患者神志清楚,未使用血管活性药,脉压波动于50~70mmHg,心超示EF63%;尝试减低ECMO流量至1.5L/min,CVP波动于12~15 cmH2O,肢端温暖,无灌注不良表现,符合ECMO撤机指征,成功撤除ECMO。仍予呼吸机辅助治疗:模式PC-BIPAP,氧浓度100%,PEEP 8mbar,压力支持15mbar,吸气压力23mbar,吸气时间1.2s,次数15次/分。

 

体格检查:体温36.5℃,心率52次/分,血压132/64 mmHg。心超示LVD 44mm,EF63%;血气分析示氧合指数258.6mmHg;肺部CT提示两肺后部多发渗出,局部肺组织膨胀不全,两侧胸腔少量积液;下肢彩超未见明显异常;无创心排结果示:SV68.5ml、CO4.7L/min、EDFR56.4%、SVRi 2352 kg.m/m2,大致正常。功能评估:ADL评分10分,重度依赖;CAM-ICU谵妄评估提示不存在谵妄;相互交流测试(S5Q):2分(不完全配合);移动能力评估(MRMI):0分;肌肉力量总分(MRC-SS):28分;握力、GAD-7焦虑量表、PHQ-9抑郁量表、匹兹堡睡眠质量量表无法评估。

 

本阶段康复目标为尽早撤除呼吸机,同时避免发生长期卧床相关并发症。康复方案:

 

①翻身时使用合适的力量叩击患者背部,同时使用充气背心排痰仪予机械排痰,起始参数:成人(瘦弱)模式、治疗时间10min,视耐受程度调整模式、逐渐增加治疗时间,1天2次;

 

②体外膈肌起搏,起始参数:频率40Hz、间隔8次/分、强度1V,视耐受程度渐调间隔及强度,1天2次,1次20min;

 

③使用机械阈值负荷法进行呼吸训练,1天2次,1次20 min;

 

④予行被动全范围关节活动,1天2组,每个关节1组20次。

 

入院第10天,患者自主呼吸恢复,血气分析回报氧分压129mmHg、氧合指数324mmHg,予拔除气管插管。

 

2.3呼吸机撤除后(入院第10~18天)

心脏康复团队再次评估。患者高流量氧气吸入,浓度60%,流速50L/min。体格检查:体温36.8℃,心率78次/分,血压148/68mmHg,呼吸17次/分。血气分析回报氧分压92.9mmHg、氧合指数155mmHg;心功能评估:心功能Ⅱ级,无创心排结果示:SV 95.9ml、CO 6.3L/min、EDFR45.2%、SVRi 2195 kg.m/m2。无创血流动力学监测联合被动抬腿负荷试验提示每搏输出量增量为13%,被动抬腿负荷试验阳性,考虑容量反应性好,可以开展主动运动康复。肺功能检测示:用力呼气肺活量(VC max)1.69 L、1秒率(FEV1/FVC)90.5%、最大呼气压力(MEP)52 cmH2O、最大吸气压力(MIP)33cmH2O、最大分钟通气量(MVV)19L,提示患者存在重度限制性通气功能障碍及小气道功能障碍。

 

根据《运动过程中发生心血管事件的危险分层》,考虑住院期间出现过心脏停搏,危险分层属高危,需在严密监护下(血压、血氧饱和度、心率、血流动力学)进行康复活动。进一步评估患者各项情况。ADL评估15分(重度依赖);CAM-ICU谵妄评估提示不存在谵妄;相互交流测试(S5Q)5分(完全配合),移动能力评估(MRMI)2分,左手握力6.3kg,右手握力5.4kg,肌肉力量总分(MRC-SS):36分,协调性正常,柔韧性、平衡性因卧床无法配合评估。

 

本阶段康复目标为恢复身体功能,尽早离床。每日活动前结合心脏专科评估、体格检查、检验检查等指标进行系统评价,并在运动中进行全程监测,如出现头晕、气促、胸痛等明显不适症状,及时暂缓或终止活动。康复方案包括:

 

①呼吸训练:指导进行主动呼吸循环技术,并借助渐减式流阻负荷呼吸训练器,根据呼吸肌力量动态设置阻抗,初始压力由MIP和MEP的30%开始即设置吸气阻力10、呼气阻力15,每天2组,1组30次呼气和吸气。

 

②体位管理及早期活动:进阶依托卧—坐—站—踏—走原则,卧位时帮助患者保持良肢位;每天进行10~20 min体位转移训练,逐渐进阶至床旁行走(图4);指导进行主动全范围关节活动,1天2组,每个关节20次/组,视身体机能恢复情况可增加踏车运动。

 

图4 体位转移训练 

A:卧(良肢位摆放);

B:坐;

C:站、踏;

D:走。

 

③心理支持:ECMO和呼吸机拔除后,患者由于高估自己能力,出现冒进式康复训练行为,继而出现负面情绪,不愿意配合治疗。GAD-7焦虑量表18分(重度焦虑),PHQ-9抑郁量表22分(重度抑郁),匹兹堡睡眠质量量表19分(睡眠质量很差)。积极调动家庭成员及社会支持的力量,同时借助书信、康复日记等可视化治疗文件(图5),鼓励患者表达、应对不良情绪,重构自我认同,缓解焦虑情绪;介绍运动康复的益处及每日康复计划,以书面形式直观地呈现康复训练的进度、趋势,鼓励患者配合训练,树立战胜疾病信心。

 

图5 治疗文件 

A:家庭成员的亲笔书信;

B、C:患者书写的康复日记

 

3.营养支持:患者入院检验指标前白蛋白147mg/L,白蛋白39.3g/L,营养风险筛查NRS-2002评分3分,提示有营养不良风险。患者体重65kg,每日所需热卡约为1625~1950kcal。入院第1天立即开始予肠内营养粉剂(安素)55.8g qid、脂肪乳氨基酸(17)葡萄糖(19)注射液(卡全)1026 ml qd,每日热卡摄入为1900 kcal。入院第1~3天前白蛋白波动于147~162mg/L,于入院第3天补充肠内营养混悬液(能全力)500 ml qd,每天热卡摄入为2650 kcal。入院第3~12天前白蛋白波动于192~287mg/L,自主进食顺利,洼田饮水试验Ⅰ级,入院第12天拔除胃管。

 

5.治疗结果、随访及转归

 

治疗结果:经过12天康复干预后,ADL由15分升至95分;左手握力由6.3kg升至22.2kg,右手握力由5.4 kg升至19.5kg,GAD-7焦虑量表0分(无焦虑),PHQ-9抑郁量表2分(无抑郁),匹兹堡睡眠质量量表9分(睡眠质量还行)。肺功能检测提示肺通气、小气道功能正常:VCmax由1.69L升至2.288L、FEV1/FVC由90.5%升至91.3%、MEP由52cmH2O升至80 cmH2O 、MIP由33cmH2O升至43cmH2O、MVV由19L升至62L。心脏彩超提示心内结构未见明显异常,左室整体收缩功能正常:LVD 48mm,EF 64%。

 

转归:患者检验检查指标未见明显异常,于入院第18天办理出院。

 

 

随访:《2020ESC运动心脏病学和心血管疾病患者的体育锻炼指南》[7]指出心肌炎症的持续时间变化很大,3~6个月不进行中-高强度的运动。心肌炎患者应在完全康复后进行全面评估,以规避运动相关心血管事件的风险。完善运动心肺试验后根据《运动过程中发生心血管事件的危险分层》,因功能储备≤5METs,危险分层仍属高危,为患者制定门诊+居家的康复模式。

 

①康复门诊:在心电监护下进行功率自行车运动,每周1次,1次30min;

 

②居家康复:借助运动手环进行心率监测,进行快走、太极拳、八段锦等有氧运动,每周3~5次,每次≥30min,目标心率:103~113次/分。

 

出院后门诊规律随访,各项指标恢复良好,无特殊不适主诉。出院后随访检查指标见图6。

 

图6 出院后随访检查指标

 

讨论

 

虽然有着起病急骤、进展迅速、早期病死率高等临床特点,但暴发性心肌炎患者度过急性危险期后,长期预后普遍良好。《成人暴发性心肌炎诊断与治疗中国专家共识》[1]指出暴发性心肌炎的治疗要点在于以生命支持为依托的综合救治方案。本病例以胃肠道症状为首发,随后迅速出现心源性休克、心律失常等临床表现,符合典型的暴发性心肌炎临床演变过程,完善相关检验检查后,诊断明确。患者症状典型,出现严重的呼吸衰竭、循环衰竭,最终预后良好的救治重点是早期识别与预判,尽早启动机械循环支持治疗以维持血流动力学稳定。呼吸机辅助通气可改善肺功能,降低患者劳力性负荷及心脏做功;ECMO辅助维持机体血液和氧的供应,使心脏更充分地休息,为其功能恢复赢得更多时间。同时,我们早期、足量地使用糖皮质激素和丙种球蛋白进行免疫调节治疗,消除变态反应,抑制炎性水肿,减轻毒素和炎症因子对心肌的不良影响,从而减轻心肌细胞损伤。

 

及时开展早期康复及提供心理支持,是维持重症患者身体功能的基础。长时间控制通气模式可能导致膈肌严重萎缩和增加通气支持的持续时间;深度镇静、长期卧床使患者可能出现包括心动过缓、ICU获得性肌无力和呼吸机相关性肺炎等并发症[6]。应用ECMO等机械辅助生命支持的暴发性心肌炎患者早期康复介入时机、运动处方制定相关资料较少。当患者血流动力学趋于稳定,在安全的前提下,开始了早期康复治疗,以期改善肌肉力量、活动状态,从而有效改善心肌重构、增强心脏功能,改善预后。

 

综上所述,本例为1例典型的暴发性心肌炎患者,分秒必争,通过及早启动机械循环支持治疗与免疫调节治疗双管齐下,辅以早期康复治疗、心理支持,患者转归良好。本例为同类型患者的治疗提供了一个成功的范例,为类似患者早期识别、开展临床综合救治、启动早期康复治疗提供了部分参考。

 

参考文献

 

[1]中华医学会心血管病学分会精准医学学组. 成人暴发性心肌炎诊断与治疗中国专家共识[J]. 内科急危重症杂志,2017,23(6):443-453. 

[2]Ajay Nair Sharma , Jacob Randolph Stultz , Nikhil Bellamkonda ,et al. Fulminant myocarditis:epidemiology,pathogenesis,diagnosis,and management[J]. Am J Cardiol, 2019,124(12). 

[3]中国医师协会体外生命支持专业委员会. 成人体外膜氧合循环辅助专家共识[J]. 中华医学杂志, 2018,98(12):886-894. 

[4]屠国伟,罗哲,王春生. 复旦大学附属中山医院心源性休克VA-ECMO治疗规范(v1.2019)[J]. 中国临床医学,2019,26(4):667-672. 

[5]Rickelmann Constance , Knoblauch Diane J . Incorporating safe patient-handling techniques to mobilize our most complex patients on extra corporeal membrane oxygenation[J]. Critical Care Nursing Quarterly,2018,41(3). 

[6]Hayes Kate , Hodgson Carol L , Webb Melissa J . Rehabilitation of adult patients on extracorporeal membrane oxygenation: A scoping review[J]. Australian Critical Care, 2021,35(5). 

[7]Antonio P , Sanjay S , Sabiha G ,et al. 2020 ESC Guidelines on Sports Cardiology and Exercise in Patients with Cardiovascular Disease[J]. Revista espanola de cardiologia (English ed.), 2021,74(6).